Zadnje aktivnosti

Zadnje aktivnosti korisnika mogu vidjeti samo registrirani korisnici.

Online korisnici

Online korisnike Agrokluba mogu vidjeti samo registirani korisnici.
Za potpune funkcionalnosti ovih servisa, prijavi se.

Promo

  • Srebrni
  • 05.03.2021. 10:30
  • Splitsko-dalmatinska, Brač

Priča o Srebrnom: Mlade žene s Brača spasile ozlijeđenog radnog konja

Ni vlasnik nije htio dati konja u klaonicu, ali nije imao novca za skupu operaciju slomljene noge. Onda su se organizirale mlade žene

Priča o Srebrnom: Mlade žene s Brača spasile ozlijeđenog radnog konja
Foto: Udruga Zemlja za nas
1.976
722
0

Nakon što je godinama bio u "radnom odnosu", te je svakodnevno svom čovjeku pomagao obavljati teške fizičke poslove, mali, bijeli konj po imenu Srebrni, doživio je nesreću - slomio nogu. Nažalost, takva ozljeda za većinu ovih životinja ne znači samo kraj "radnog vijeka“, nego i kraj života. 

"Konjić je naš susjed. Upoznale smo ga prije nekoliko mjeseci, na makadamskom putu, koji s našeg imanja vodi prema selu Ložišću. Bila je to ljubav na prvi pogled. Prekrasni, umiljati, bijeli konj živio je u jednom polju, a jedino društvo bilo mu je stado ovaca", pričaju nam Daria Metelko Mrvica i njene prijateljice Armina Pilav, Luce Terze i Svetlana Đurković iz Udruge "Zemlja za nas" koju su Darija i Luce osnovale su s Antonelom Đogaš. Točnije, osnovale su zajednicu koja danas formalno djeluje pod navedenim imenom.

Složena i skupa operacija 

Saznale su da je radni konj koji svom čovjeku pomaže u nošenju drva i maslina. Kada god bi prolazile tim putem, veselo bi dotrčao do ograde, čekajući da ga pomaze, daju mu jabuku ili rogač. Jednoga dana nije ih dočekao na uobičajenom mjestu. Istog dana saznale se tužnu vijest.

U selu su im rekli da je slomio nogu i da mu je veterinar pružio prvu pomoć. Odmah su otišle u polje i našle ga kako ozlijeđen leži, u bolovima. Noga mu je bila potpuno iskrivljena, a kretanje vrlo otežano. Nakon dva tjedna, stanje mu se dodatno pogoršalo. Govorili su im "to je konj, a ne čovjek, za njega nije bolnica, nego klaonica“, no one ipak nisu prihvatile takav scenarij.

Izgradile su mu i štalu 

Iako ni vlasnik konja nije želio da Srebrni završi u klaonici, osjećajući zahvalnost prema četveronošcu koji mu je godinama bio "desna ruka", čovjek nije imao novca da plati vrlo složenu i skupu operaciju, koja se mogla obaviti samo u inozemstvu. "Nakon par neprospavanih noći, odlučne u želji da nađemo rješenje, predložile smo vlasniku da mi preuzmemo brigu o konju. Pristao je i mi smo istog trena otišle te ga, iako je tada bio u još težem stanju, nekako uspjele odvesti do svog imanja“, priča nam Armina.

Dobra i loša vijest

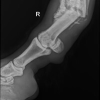
Čim su preuzele brigu o konju obavljen je i prvi korak - rendgensko snimanje noge, koje je obavio Dr. Cik. Snimka je, nažalost, otkrila da je riječ o složenom prijelomu. Uslijedila je potom dobra i jedna ne tako dobra vijest - operacija mu može spasiti nogu, a time i život, no cijena joj je visokih 10.000 eura.

Na društvenim su mrežama pokrenule akciju prikupljanja novca za operaciju. Zahvaljujući angažmanu Sare Morić, aktivistkinje i borkinje za prava životinja, u akciju se uključila i food blogerica Tastes of stolen fruit, koja je među svojim pratiteljima organizirala nagradni natječaj i prikupljanje donacija. Srebrni je u međuvremenu hodajući na tri noge, provodio dane na pašnjaku. 

"Iako se kretao vrlo teško, jer se na slomljenu nogu nije mogao niti osloniti, zahvaljujući jakoj volji za životom, brzo se adaptirao na novi teren i na život na tri noge“, kaže nam Daria.

Donacije stigle čak i iz Amerike

Nakon što su pokrenule akciju spašavanja malog, radnog konja, njegova je priča 'mobilizirala' i čitavu vojsku nepoznatih ljudi. Dvije najveće donacije stigle su iz Amerike i susjedne Bosne i Hercegovine – ukupno 4.000 eura. Dr. Cik, koji je obavio rendgensko snimanje noge, nastavio im je pomagati te je donirao i svoju prikolicu za prijevoz konja u Beč i natrag. Prijateljica Martina Posilović, iza koje je bogato iskustvo u radu s konjima, našla je iskusnog vozača Marka Hercigonju, koji i sam ima ove životinje, te im je u svemu što je trebalo bio velika podrška.

"Uz pomoć prijatelja s Brača odmah smo izgradile i štalu, koja nam treba za njegovu rehabilitaciju nakon povratka iz Beča“, priča Luce.

Prije par dana došao je i taj trenutak - nakon uspješne operacije noge, u koju su ugrađene dvije pločice i čak 17 vijaka, vratio se iz Austrije na svoj Brač. 

Slijedi mirovanje i oporavak

Pred njim su dva do tri mjeseca mirovanja, ne smije se previše kretati. Kako bi se oporavio, tri puta na dan ga vode u šetnje, te prema uputama veterinara s klinike, rade s njim vježbe za nogu.

Srebrni se trenutno oporavlja od operacije 

"Naš najveći učitelj u tome kako postupati s konjima je upravo Srebrni, koji je toliko strpljiv, društven i privržen da nam kada smo u kući dođe na prozor i zaviri u kuhinju, baš poput konjića u filmu Pipi Duga Čarapa. Iako su nam, na početku ove priče, rekli da je to što smo naumile nemoguća misija, zajedno smo ipak uspjeli spasiti jedno divno i pametno biće", pričaju naše sugovornice.

Ističu i kako se iskreno se nadaju da će ovakav tip njege uskoro biti dostupniji te da konjima sa slomljenom nogom, jedina opcija više neće biti klaonica. 

Iako su prikupile gotovo cijeli iznos potreban za operaciju, dio novca su morale i posuditi. Stoga poručuju, ako možete, sjetite nas se ponekad u sljedećim mjesecima te ako želite, uplatite koju kunu da te dugove u potpunosti vrate.


Fotoprilog


Tagovi

Konj Radni konji Srebrni Udruga Zemlja za nas Daria Metelko Mrvica Humanost Brač


Autorica

Sanja Rapaić

Više [+]

Ima bogato novinarstvo iskustvo. Gotovo 15 godina radi i surađuje s raznim medijskim kućama.

Izdvojeni tekstovi

Izdvojen oglas

KLUB

Šinjorina smokva, obiteljsko gospodarstvo Sandre Babac, već 20 godina posvećeno je uzgoju i ekološkoj preradi voća. Sve je počelo 2004. godine, kada je od nekoliko smokava skuhala prve staklenke pekmeza, ne sluteći kamo će je to odvesti. Da... Više [+]